
Has your Kitchener Dentist discussed gum grafting with you at some point? Dentists recommend Gum Grafts to treat gum recession and gum recession is extremely common. But is grafting helpful? What is a gum graft and what happens if you don't proceed with a recommended graft? Let's talk a bit about this so you can better understand what you need to know about gum grafts.
First, let's talk briefly about gum recession...
Gum recession is very common among adults. Much of the time, it occurs naturally. In some cases, heavy brushing force is the cause. Tooth grinding and clenching can also cause gum recession. What is most important is that the triggers must be understood by your Kitchener Dentist. Any gum grafting won't be stable or successful if heavy brushing and/or tooth grinding aren't controlled.
Other factors, like recession rate and stability, are important, too. 2mm of gum recession in a 25-year old should be viewed as less stable than 2mm of recession in a 70-year old. I'm sure you'd agree that the 25-year old is on pace for more recession before reaching 70. As a Dentist, I might consider recommending grafting to the 25-year old but I probably wouldn't recommend it to the 70-year old. It's not strictly because of age, but instead because the 70-year old has a very slow rate of recession. In contrast, the 25-year old may be at risk for continued, rapid recession, in the future.
Other factors also influence the cost-benefit calculation. Comfort and Aesthetics are two such factors.
The main symptom that comes with gum recession is cold sensitivity. This happens when gums recede and tooth roots start to lose coverage. The roots can be very sensitive to cold beverages and foods (think ice cream, for example). Gum tissue insulates those root surfaces typically but that insulation vanishes slowly as gum recession progresses. Not everybody with gum recession will experience cold sensitivity. For others, the sensitivity can be profound and even unbearable.
Gum grafting will provide more value to a patient experiencing extreme cold sensitivity.
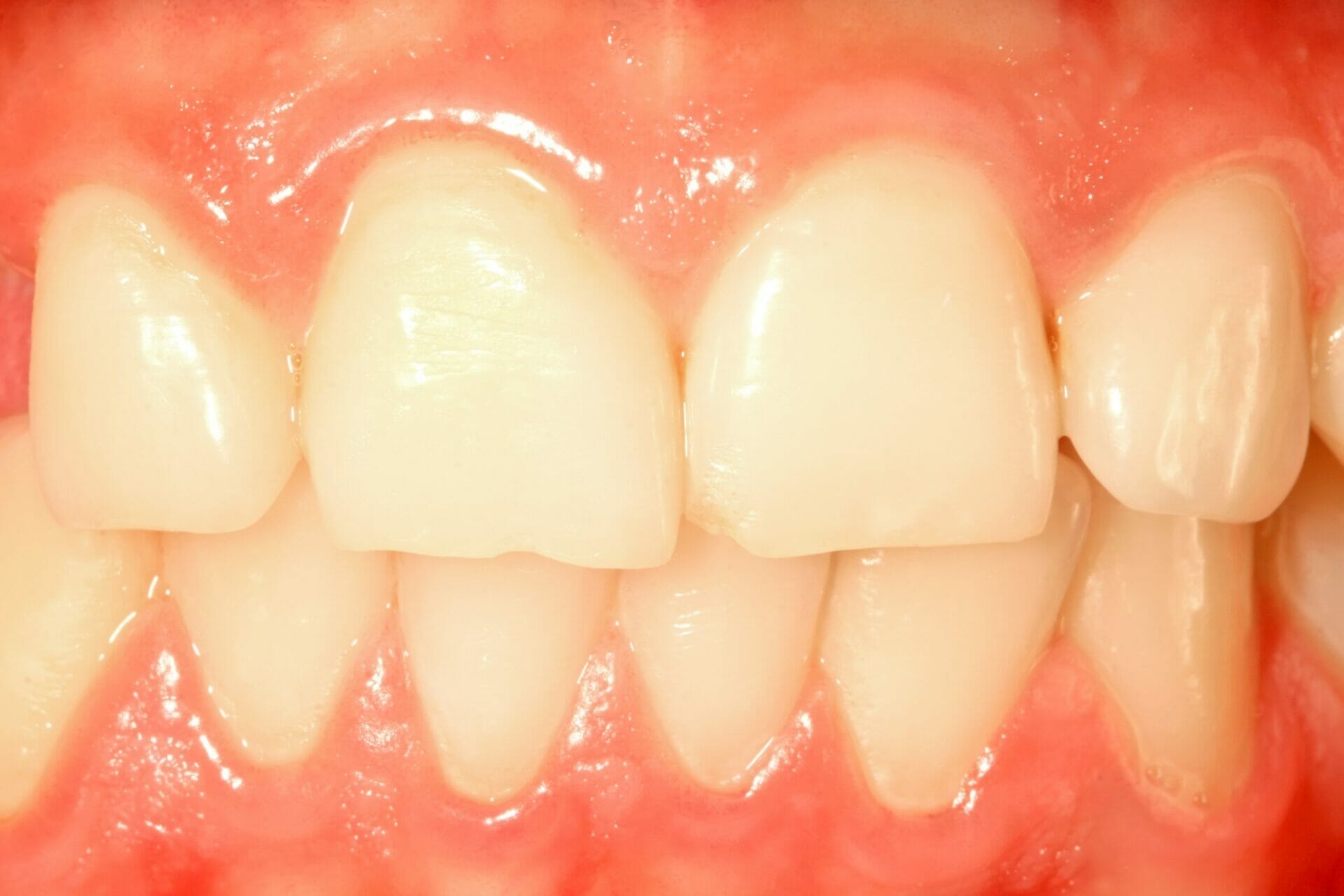
In most cases, gum recession occurs around canines, premolars and molars. Occasionally, gum recession occurs around front teeth like incisors. For some patients, their smile will expose or "show" this gum recession. In severe cases, the patient may become self conscious about how gum recession has affected their smile. Those patients will likely place a high value on gum grafting.
Many adults experience gum recession and the causes can vary from individual to individual. Ask your Kitchener Dentist if your gum recession appears to be stable or if it's likely to progress. If you are experiencing extreme cold sensitivity or are concerned with how recession affects your smile, let your Family Dentist know. Make sure to have a thorough conversation about the process, costs and benefits to you.
My hope is to have another article discussing the grafting procedure, options and costs to you in the next week, so stay tuned...and thank you for reading!
If you would like to gain a second opinion about gum recession, please give us a call at (519) 576-8160 or request a consult with me here.
This article is intended to promote understanding of and knowledge about general oral health topics. It is not intended to be a substitute for professional advice, diagnosis or treatment. Always seek the advice of your Kitchener Dentist or other qualified healthcare provider with any questions you may have regarding a dental condition or treatment.
Services
Routine Dentistry & Tooth Repair
Oral Surgery & Tooth Removal
Prosthetic Dentistry & Tooth Replacement
Protective/Preventive Services
Teeth Whitening
Schedule an Appointment Now
