
Hi! My name is Dr. Kyle Hornby and I'm a Dentist in Kitchener. Each week, I sit down at my laptop to come up with interesting oral health content to help you get the most out of dental treatment and prosthetics. Today, I'd like address the possibility of losing a dental implant and give you actionable tips for making sure it doesn't happen to you!
Ok, so Dental Implants...what are they and why are they so popular?
Here are what I think are some pretty good answers to those questions.
A dental implant includes a surgical screw that threads into your jawbone and a tooth crown that attaches to it. It's a tooth replacement solution and it's non-removable, or fixed, so people love them. I'm always careful to differentiate between what is "non-removable" and what is "permanent".
Dental implants are non-removable but they might or might not be permanent.
What?
Yes, implants can fail. It's also important to know that they have to be managed and maintained meticulously to increase the likelihood of long-term success.
So, for the $4,000 - $8,000 you might pay to replace a single tooth, you need to still be very diligent in your care for the implant. You also need to continue regular dental cleanings and check-ups for the rest of your life.
Dental implants have become popular, in part, because they are currently the most tooth-like way to replace, well, a tooth. But, you should know that they are inferior to natural teeth and harder to maintain in a number of ways.
Given that you'll pay a small fortune for a dental implant and crown, you'll want to make sure you know exactly how to prevent failure and loss of your implant.
So, where do you get the playbook on keeping your dental implant forever?
Right here.
When your Kitchener Dentist places an implant there are two ways they'll leave the healing site. In the first, they'll stitch your gums over the dental implant. Later, they'll re-expose the implant and place a healing cap or healing disc on the implant to help shape the surrounding gums.
In the second approach, your Dentist may restore the freshly-placed implant with a temporary crown so you can have a nice looking (albeit temporary) tooth in place, right from the jump.
You really need to avoid chewing in the area of the implant in either scenario.
For how long?
Well, your body needs time to help the jaw bone fuse to the implant screw. This is called Osseointegration. Osseointegration typically take 12 weeks.
During this period of time, the less the implant moves, the better. If you're chewing around the implant you can get slight movement. If this happens regularly, you're forcing your body to heal to a moving target.
Your Kitchener-Waterloo Dentist will give you a list of instructions to follow during healing. This list will include a description of how to clean around the implant without causing harm. The list will also include other helpful tips for getting the best healing result.
It's super-important to keep the implant site clean and inflammation-free. This way, your body can produce the best implant osseointegration.
Sound good?
Awesome. Now let's talk about after your dental crown is installed...
There are some key differences between the shape and form of a dental implant compared to a natural tooth. These differences affect how often you'll need to clean around your implant.
What am I talking about?
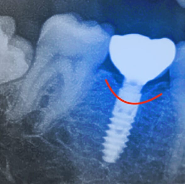
Well, an implant is one cylinder-shaped screw that supports a crown (you know, the tooth part that you can see above the gums).
A molar tooth has 3 and sometimes 4 roots to support it's crown. When you replace a molar, the implant-crown isn't resting on 3-4 implants, it's supported by only one.
This gives you a fairly large bulky tooth (or crown) portion supported by a very thin implant portion. While the image below is an exaggeration of the size difference between crown and implant, the overall implant-crown form is kind of like a lollipop.

Even when you're replacing a tooth with only 1 root, the implant will have less flare and contour in comparison.
Why does all of this matter?

First things first, let's talk about the flare. A natural tooth has a root that flares out gradually as it moves up to the gum line where the crown of the tooth begins. An implant has less flare. The result is that the implant-crown is much wider than the implant itself. So you get large pockets under the implant-crown. These pockets trap and retain more food and are harder to clean. This puts your implant and surrounding gums at greater risk for inflammation and bone loss.
Next, I want to talk about roots. Molars have 3 or 4 roots typically but a molar implant replacement is a single unit. It's like having a molar supported by one small root. This means lower stability and anchorage compared to a natural molar tooth.
The implant-crown replacing a molar still has a fairly high success rate, but it differs from its natural tooth counterpart. If you start losing one around a molar implant, it's a much more dire situation compared to if you start losing bone around a natural tooth.
So, what's the solution to these challenges?
In 2 words: plaque management. Make sure you're flossing around your dental implant at least once a day (ideally before bedtime). You have to brush diligently, too.
In addition to the normal home care hygiene approach, you should incorporate some irrigation as well. Ideally, get a bent-tip plastic syringe (called an elbow syringe or Monoject) from your Kitchener Dentist.
You can draw up salt water with the syringe and then rinse gently the gum line area all around your implant. The most important spots are the gum line areas between your implant and neighboring teeth (these are the areas that will trap larger bits of food like meats and vegetables).
Dental implants really do need special conditions to survive for the long-term. The #1 cause of implant failure is bone loss. There are a few main reasons why bone loss will occur:
Dental implants can't shoulder the same amount of biting force as a natural tooth.
Why not?
Well, as we saw above there are some fundamental differences between implants and natural teeth. Importantly, the roots on natural teeth are covered with a thin, cushioning periodontal ligament which takes up space between the root and jaw bone. Implants, on the other hand, are fused directly to bone.
Without the cushioning enjoyed by your natural teeth, implants are more susceptible to bone loss if destructive chewing forces aren't carefully managed over the life of the implant.
Does that mean you need to see your Kitchener Dentist regularly for the rest of your life?
Yup.
When you have an implant, you really want to have a Dentist check it at least once a year. The Dentist should be checking to make sure that there is very little contact between your implant crown and opposing teeth.
Oftentimes, your Dentist's treatment recommendations assume that you'll be getting your teeth checked regularly for the rest of your life. But the reality is that many patients go to the Dentist less regularly after retirement if they no longer have dental insurance through their employer. It's certainly understandable as Dental care and maintenance is expensive. I just want to make sure people know that implants require life-long assessment to ensure they're still operating under optimal conditions!
Sometimes, patients will ask me why their bite doesn't just stay the same over time. The reason is that our teeth wear down slightly over time and they also shift. This means that the contact on your dental implant may be ideal at one time but not ideal later on.
For this reason (and others), try to make a habit of seeing your Dentist (for a checkup and dental cleaning at least once a year. They should be checking with a blue- or red-colored marking paper to map the contact points on your implant crown. If they don't, just ask them to check the contact on your implant crown(s). It could save you a lot of grief and money in the long run.
When people clench or grind their teeth (during daytime or nighttime), excessive force is placed on teeth and dental prosthetics like implants. During nighttime grinding episodes, the biting forces can far exceed those applied during chewing.
This extra force can place added your dental implant under duress. Grinding and clenching can increase the load on your implant and lead to gradual bone loss over time.
Some patients are aware that they grind their teeth while others will be notified by their Dentist. Your Dentist can spot the hallmark signs of heavy tooth wear and chipping that come with grinding.
If you are grinding your teeth, a custom night guard can protect your teeth, dental crowns, bridges and dental implants.
Night guards are made of a soft, comfortable acrylic that can absorb harmful forces and prevent tooth-to-tooth contact during grinding.
Smoking is a major cause of dental bone loss.
It causes bone loss around teeth.
It causes bone loss around implants.
If you've spent $4,000 - $8,000 on a single dental implant, you deserve to have it last.
You can read more about smoking and dental bone loss, here.
At this point, I want to talk about another cause of implant (and tooth) loss, which is Gum Disease or Periodontitis.
Gum Disease causes a loss of bone and gum attachment to teeth (and implants). Gum disease can have a variety of causes but, by far, the most common cause is related to accumulation of harmful bacteria at sites that aren't properly cleaned.
That's right, the same thing that causes cavities causes gum disease.
When plaque, carbohydrate and larger food particles are left on teeth, harmful bacteria fuel up and cause destruction of teeth and jaw bone.
As we discussed above, good oral hygiene is critically important for dental implant longevity. But, what if I told you there are other ways to control the amount of harmful bacteria in your mouth?
Now, before I talk about how to optimize bacterial levels in your mouth, I'll give you some basic info on what's going on in the mouth.
Your mouth is home to good and bad bacteria and this is the same for every human on planet earth. On average, people who don't brush and floss much will have a higher concentration of harmful bacteria versus those who clean their mouths diligently. That is to say, the harmful bacteria are winning the war when oral hygiene efforts are lacking.
When you control plaque levels adequately over time, the balance between good and bad bacteria shifts in favour of "helper bacteria". In fact, some of these good or "helper" bacteria can out-compete harmful bacteria, keeping their overall numbers low.
So, all of this is to say that the environment in your mouth matters and that you can make a huge difference in keeping a happy home for your teeth and gums.
One recent advance in oral health is the development of dental probiotic gums and lozenges. These products help to boost the level of "helper" bacteria in your mouth. Increasing levels of good bacteria will help to cultivate a happier home for not only your teeth but also your dental implant(s).
Given that it's harder to control plaque deposits around implants, dental probiotics can give you the boost you need to make sure your implants last forever.
You might read this article and think that I'm against dental implants. But, I can assure you I'm not. One thing I'm not in favour of is receiving treatment without being educated on all the possible shortcomings of the treatment.
You deserve to be told how dental implants differ from natural teeth so that you'll know the lengths you'll have to go to properly maintain them. I see many patients each year that have gone years without checkups and cleanings and have dental implants in their mouth. Oftentimes, we check and the biting force on the implant crown has become too heavy over time.
We also see implants with heavy plaque and tartar deposits causing bone loss.
These things can really compromise the success of implant therapy.
If you follow my guide above, it will go a long way toward maintaining a healthy dental implant that will provide you with decades of service. While nothing is as good as a natural tooth, the dental implant will give you the most tooth-like option for replacement and requires only a bit of extra oral hygiene diligence in return.
As always, thanks for reading my blog. Please reach out at info@enamelrepublic.com if you have any questions!
By Dr. Kyle Hornby, Kitchener Dentist
Our Dentist Office is located in Downtown Kitchener, Ontario. We are a short drive away for families in Waterloo, Breslau & St. Jacobs. Our central location means we truly offer family dentistry near you!
This article is not intended to be a substitute for professional advice, diagnosis, or treatment. Accordingly, always seek the advice of your Dentist or other healthcare providers regarding a dental condition or treatment.
Services
Routine Dentistry & Tooth Repair
Oral Surgery & Tooth Removal
Prosthetic Dentistry & Tooth Replacement
Protective/Preventive Services
Teeth Whitening
Schedule an Appointment Now
