
My name is Kyle Hornby and I am a Dentist in Kitchener, ON. Each week I tackle common dental topics to help you better understand how to raise the bar on your dental home care. My overall goal is to help patients to need less treatment so they can save money on annual dental fees. This week, I'd like to discuss a common patient concern: managing gum recession.
I hope that this guide will help patients to better understand what causes gum recession as well as whether or not the recession they're experiencing will worsen and require treatment. Knowledge is really powerful stuff. Thus, I hope these posts can help patients to have a productive, informed discussion with their Dentist about treatment options.
So, I'll start by briefly explaining what gum recession is along with a discussion of its root causes (there are a few). The we'll tackle how to think about and track gum recession over time so we can better understand stability and determine if any need for treatment exists.

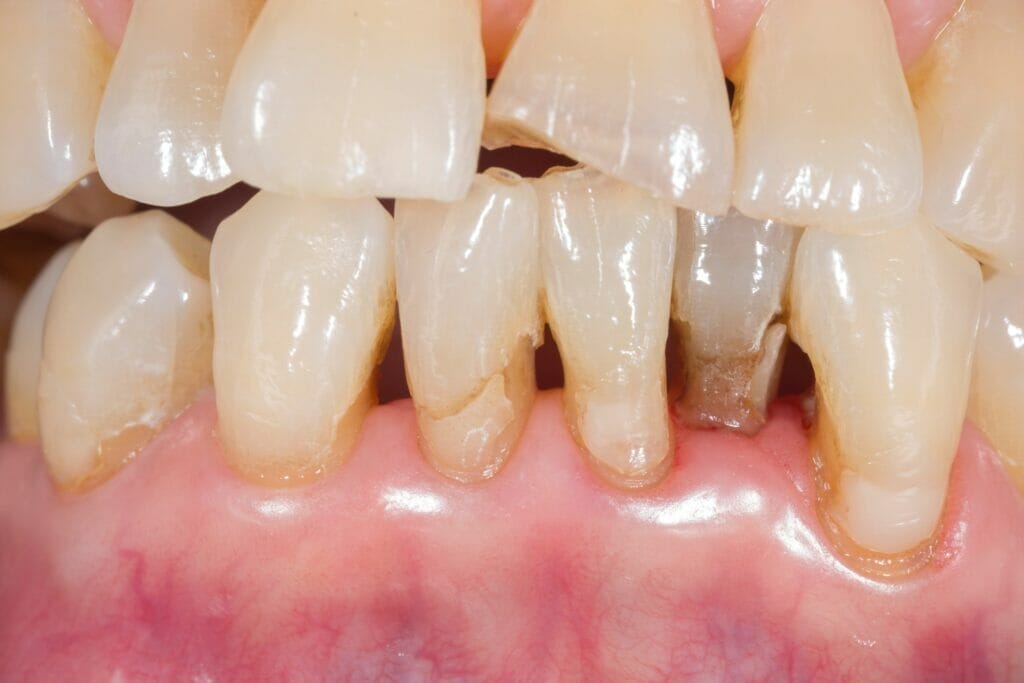
Gum recession is any progressive loss of tissue whereby the crest or collar of the gums (their highest point) moves toward the root of your tooth. Thus, when your gums recede, more of your tooth root becomes exposed.
So what do you see at home when your gums recede?
Well, you may be able to identify gum recession visually but sometimes, it can be tricky to do so. The root of your tooth is more yellow and rough than your shiny white tooth enamel. But, if your enamel is yellowy or your roots are more on the whitish side, telling apart enamel and root dentin will be challenging. If you can't tell where your roots start, you won't know for sure if your gums are receding.
Generally, your Dentist or Dental Hygienist will be best equipped to identify gum recession. We also measure gum attachment levels every 1-2 years so we can quantify the rate of gum recession too.
Gums that recede may be inflamed and red, but they can also be pink, firm and completely normal looking. So, it's best to rely on your dental healthcare providers to spot gum recession.
Well, there are a few root causes of gum recession. Generally, the gums recede at a very slow rate with age. The often-used expression that an aging person is getting "long in the tooth" refers to how teeth look longer as a result of gum recession as we get older.
There are, however, other causes of gum recession that (luckily) we can control. In some patients there is a single cause of recession while in others, multiple causes are in play. Generally, anything that causes trauma or damage to the gums can lead to recession.
Here's a list of things that can cause your gums to recede (including what you can do to stop gum recession):
Gum Disease comes in many forms but generally it involves the progressive loss of tooth-supporting jaw bone and gum tissue. The cause is typically chronic inflammation due to poor oral hygiene and accumulation of bacteria around teeth and gums.
Often times (but not always) loss of supporting bone leads to gum recession. Improving oral hygiene can slow or stop the progression of gum disease and the recession it often causes.
It's quite common for people to use a side-to-side scrubbing motion and heavy force to clean their teeth. This technique can remove plaque quickly but it can also cause gum irritation that leads to recession.
So, what's the best approach?
Well, the answer is to transition to a more gentle brushing technique. Brush your teeth as though you are painting a portrait. Use many repetitions under light force.
Also, you may want to transition to a more circular motion with the bristles instead of side-to-side scrubbing. If your gums are receding because of heavy brushing, a proper technique will help to stop recession in its tracks!
Yes, grinding your teeth can lead to receding gums.
It's definitely not something you'd expect given that your teeth don't touch the opposing gums when grinding. However, when you lock your teeth together and grind them, you're applying hundreds of pounds of pressure through your teeth and down through the gums and jawbone. This can cause low-grade trauma night-after-night over many years and this often results in rapid gum recession.
So how can you minimize these destructive forces?
What you need is something to cushion and absorb excessive grinding forces. Your Kitchener-Waterloo Dentist can make you a custom night guard to protect your teeth and absorb harmful force during nighttime grinding bouts.
Smoking (both cigarettes and Cannabis/Marijuana) leads to a dramatic reduction in blood and nutrient supply to your gums.
It also causes an increase in your body's cells that break down gum tissue during regular turnover and repair. This shifts the balance you see in healthy patients toward a slow destruction of gum tissue.
Smoking also reduces the ability of your gums to heal following trauma. That means that if you grind your teeth, brush too hard, or suffer from gum disease, smoking will make all of those things even more destructive to your gums.
Luckily, there is plenty of research showing that gums will rebound after smoking cessation. It's important to be specific here: your gums won't regrow to cover tooth roots after you quit smoking but your gums will be healthier, enjoy a richer nutrient supply and be able to better withstand future trauma and injury.
Orthodontic tooth alignment can cause receding gums? Absolutely. Here's why...
Most people that pursue Invisalign or traditional braces do so to alleviate crowding. When teeth don't have the space they need, they rotate and tip into positions that allow them to erupt into the mouth. What you get over time is crowding and misaligned teeth. The way that Orthodontists create enough space is by increasing the perimeter of your dental arch.
To increase the perimeter or circumference of an upper or lower arch of teeth, you push the teeth out slightly toward the lip and cheek. Once you increase the perimeter of a dental arch, you have more room to fit teeth in, in their proper position. This gives you the smile you want.
However, moving teeth out toward the lip and cheek means having teeth with less bone and gum coverage on their front surface. If you position teeth right in the middle of the jaw, they enjoy the thickest, highest bone and gum coverage possible. When you move them away from the middle, they enjoy thinner, lower bone and gum coverage.
Many patients who have had Orthodontic treatment notice 1-2 mm (mild) gum recession around their canine and premolar teeth. Sometimes, the gums recede around their front teeth, too.
There has been a lot of research about this topic and an excellent review of literature can be found here.

Unfortunately, you cannot regrow gum tissue. Preventing gum recession is the best approach. Stopping active gum recession in its tracks takes second place. However, once you deal with what's causing your gums to recede, they stay at that level without improvement.
So, can anything be done to restore gum levels back to their original position?
The only treatment that can predictably restore lost gum tissue is connective tissue grafting. There are some other grafting techniques out there, including "pedicle grafting" and "alloderm grafting" but these techniques don't have the track record that connective tissue grafting does.
Connective tissue grafting is a treatment you can complete at your local Periodontist (or, Gum Specialist). It involves a minor surgical procedure whereby gum tissue is taken from the roof of your mouth and placed over your exposed tooth roots. The healing time on the procedure is 3-4 weeks. Post-operatively, patients can expect a couple of weeks of moderate pain or discomfort.
Connective tissue grafting typically costs about $1000 per tooth. Sometimes dental insurance will cover a portion of the procedure.
Most importantly, heavy brushing, tooth grinding, smoking and gum disease will all cause gum grafts to fail long-term. Therefore, it's super important that you get all causes of gum recession under control before pursuing connective tissue grafting.
Now I want to transition into discussing symptoms and risks that come with gum recession.
When your gums recede, they expose the outer surface of your tooth root. Enamel (a great insulator) does not cover your roots and, therefore, root exposure can lead to intense sensitivity to acids, cold temperatures and sweet foods and drinks.
This varies for every patient with some not experiencing much if any tooth sensitivity while others will be searching for solutions to their painful gum recession problem. Luckily, most cases of tooth sensitivity can benefit from use of Sensodyne toothpaste. Topical fluoride treatments at your Dentist can also help.
If the sensitivity is extreme, you can pursue gum grafts or cover sensitive roots with dental filling material or dental bonding.
Gum recession can occur with loss of supporting jaw bone but, oftentimes, gums recede without bone loss. Fortunately, the main support structure for your teeth is the jaw bone. Therefore, when gums recede it is common that patients still have enough supporting jaw bone left.
It is only in cases where we see significant bone loss that patients may eventually lose teeth. But, strictly speaking, gum recession does not lead to, or cause, tooth loss.
This is a great question because what it really addresses is stability. If you're 50 and you have 1-2 mm of mild recession on a few teeth, this is pretty normal. I would argue that mild, localized recession on a few teeth is pretty normal even for a 30 year old. The key factor is whether or not the recession is progressive or ongoing.
In many cases, if we identify the cause of recession, we can control it and stabilize gum levels in the process. The time for a patient to worry (and possibly seek treatment) is when recession is rapidly progressing despite control over any contributing factors. When would this happen?
Well, when you have receding gums around a tooth and the remaining gum tissue is thin and frail, you'll likely get more recession. This recession will likely continue even if you control any contributing factors (like smoking, gum disease, tooth grinding and aggressive brushing). Therefore, these rare cases should be cause for worry although, luckily, they respond well to treatment.
Where gum recession is likely to progress, a Periodontist can provide a connective tissue graft to thicken the remaining gum tissue. If the remaining gum tissue is thicker and more robust, it will be less likely to recede. This is the goal of connective tissue grafting. Sometimes, the graft can increase gum height too although this should be considered a bonus.
Unfortunately, it's not easy for patients to know just by looking if they can expect more recession in future at a given site. Your Family Dentist will be able to assess the quality of remaining gum tissue and advise you if they feel grafting would be beneficial. From my perspective, I find that most cases of gum recession can be properly controlled by eliminating root causes. It is a rare occurrence that we refer patients to a Periodontist for grafting.
If you have concern regarding the severity of your gum recession or if it's likely to be progressive and get worse over time, ask your Kitchener Family Dentist to have a look.
I hope that you found this article useful and informative. Thanks for reading this week!
I thought I'd beef up this article with some added answers to commonly asked patient questions on the topic of gum recession. Hope the added information is helpful!
There is evidence suggesting that Vitamin C plays a really important role in the health of your gums. How?
Well, Vitamin C boosts immune function and this may allow immune cells to better combat harmful affects of gum-disease causing bacteria. This pathway, however, is not likely to alter the progression of gum recession.
Vitamin C plays an important role in the synthesis and maturation of collagen within your connective tissue. Given that connective tissue is a critical ingredient in healthy gum tissue, this role of Vitamin C suggests that it could help in staving of gum recession!
Swishing daily with salt water helps as a natural antimicrobial in your mouth. It does this primarily through it's dehydrating effect on bacteria but it also alters the pH (or acidity) of the mouth to create a less favourable environment for harmful bugs.
Salt water can help to reduce gum inflammation, however, it has not been shown to prevent gum recession.
So, this is actually a very interesting question. If you eliminate Gingivitis and inflammation, your gums are much healthier.
They're pinker, firmer and less puffy.
However, when you eliminate inflammation and get your gums back to health, you may notice MORE gum recession.
Why?
Well, because inflamed gums are puffier, they cover more of your tooth. When you squash inflammation, they actually shrink back to a healthy size and firmness.
This can result in you noticing gum recession.
I want to be really clear here, though: you are better off and healthier overall when your gums are pink and firm, not red, puffy and inflamed.
So, don't continue to harbour Gingivitis and inflamed gums because you're worried about mild gum recession. Resolving Gingivitis didn't cause new recession, you simply uncovered it.
Mouthwash has not been shown to affect gum recession in any way.
Most commercially available mouthwashes dry your mouth and harm the bacterial ecosystem in your mouth. That is, they fight bad bacteria (which we like) but they also harm friendly, beneficial bacteria, too.
There are more beneficial forms of Mouthwash out there, and they can help to create a healthy mouth, but they won't help you to avoid gum recession.
The answer to this question really depends on how you brush. So, here's the thing about electric toothbrushes: they tend to have shorter bristles compared to manual toothbrushes so there's less overall flex and more pressure applied when brushing.
Even the ultra-soft bristles for an electric toothbrush are less "gentle" compared to the longer ultra-soft bristles on a manual brush (again, this is because the longer bristles have more "flex" or ability to bend).
If you brush with heavy force, you'll trigger gum recession with either a manual or electric brush. When using an electric brush, you have to really be aware of your brushing force and overall technique.
The electric brushes have more potential to deliver heavy forces to the gums during brushing and this can lead to recession.
There is quite a bit of "buzz" out there about Corsodyl Toothpaste. Corsodyl toothpaste promises to remove up to 4x more plaque from your teeth and gums to prevent gum recession.
Typically, toothpastes or gels that remove plaque and stains more aggressively are more abrasive and will harm your gums. Additionally, you can remove the same amount of plaque with a less abrasive toothpaste by simply brushing for longer duration.
There is no current evidence showing a particular toothpaste is better at preventing gum recession.
By Dr. Kyle Hornby, Kitchener Dentist
Our Kitchener Dental Office is conveniently located in Downtown Kitchener. We are a short drive away for families in Waterloo, Breslau & St. Jacobs. Our central location means we truly offer family dentistry near you!
This article is not intended to be a substitute for professional advice, diagnosis, or treatment. Accordingly, always seek the advice of your Dentist or other healthcare providers regarding a dental condition or treatment.
Services
Routine Dentistry & Tooth Repair
Oral Surgery & Tooth Removal
Prosthetic Dentistry & Tooth Replacement
Protective/Preventive Services
Teeth Whitening
Schedule an Appointment Now
